熊本市東区矯正歯科
目立ちにくいマウスピース型矯正(インビザラインGO)
こんなお悩みありませんか
- 矯正装置が目立つのが心配
- 矯正治療の費用が気になり、一歩踏み出せない
- 矯正装置をつけることで、ストレスを感じないか心配
- 金属アレルギーなので、ワイヤー式の矯正は不安
マウスピース型矯正
当院で取り扱うマウスピース型矯正「インビザラインGO」
インビザラインGOはインビザライン矯正の一種であり、前歯部分を対象としたマウスピース型矯正システムです。特有のデジタル技術で設計した精密で目立ちにくいマウスピース矯正を装着して治療をいたします。

インビザラインGO
メリット
■矯正治療後の仕上がりをシミュレーションできる
マウスピース型矯正「インビザラインGO」は、歯型をコンピューターに取り込むことで、矯正によって歯が動いていく様子をシミュレーションすることができます。そのため、最終的な仕上がりがイメージしやすいという大きなメリットがあります。
■短期間・低価格で矯正治療を実現
マウスピース型矯正「インビザラインGO」は、軽度な前歯のズレや隙間を、短期間・低価格で矯正できます。また通院回数も少ないため、忙しい方にもおすすめです。
■周囲に気づかれにくい・ばれにくい・目立ちにくい
マウスピース型矯正「インビザラインGO」では、透明でとても薄いプラスチック製のマウスピース型矯正歯科装置を使用するため、近寄らないと気づけないほど目立ちにくいという特徴があります。目立ちにくいマウスピース型矯正「インビザラインGO」は、老若男女問わず日常生活を送りやすいと好評です。
■矯正治療と同時にホワイトニングもできる
マウスピース型矯正「インビザラインGO」のマウスピースは、内部にホワイトニングジェルを入れることで、矯正をしながらホワイトニングを可能です。
デメリット
■口腔内の状況によっては適応できないこともある
マウスピース型矯正「インビザラインGO」は、「前歯だけ治したい」「歯の隙間を埋めたい」など、軽度の症状に適した矯正技術です。またご本人が軽度と考えていても、次のような原因が考えられる場合には、マウスピース型矯正「インビザラインGO」で歯並びを矯正することが難しいケースもあります。
・全体的な歯並び
・骨格や咬み合わせ
■正しい装着が必要
マウスピース型矯正「インビザラインGO」は、自分で取り外しができるマウスピースで歯を動かしていきます。しかし、歯科医師から指示のあった装着時間や使用上の注意を守らないと、効果が十分に発揮できない可能性があります。
矯正治療の流れ
1カウンセリング
歯並びに関するお悩みや治療のご希望を伺います。気になる点があれば、お気軽にご相談ください。
2仕上がりをシミュレーション
型取りを行い、シュミレーション後のデータを作成していきます。
また、この際に患者さまにも一緒に画面を確認いただきながら、丁寧に説明をいたしますのでご安心ください。
3治療計画のご提案
シュミレーションデータ及び精密検査を用いて、あなたに合った治療計画をご提案します。
4アライナー(マウスピース)の作成と装着についてご説明
データを基に、患者さま専用のマウスピースをオーダーメイドで作製します。その後、完成したマウスピースが完成次第、再度ご来院いただきます。
5アライナー(マウスピース)の交換や経過観察
1ヶ月に1回通院していただき、歯科医師が経過を観察していきます。また、マウスピースは歯の動きに合わせて、約2週間ごとに交換します。
6治療終了
治療計画が終了した後、仕上がりや咬み合わせを確認します。この際、特に問題がなければ、治療は終了です。
ただし歯並びの状態によっては、後戻りを防ぐためにリテーナー(保定装置)を設置することもあります。
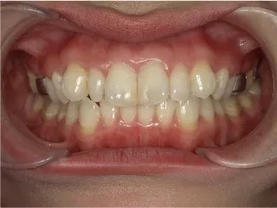
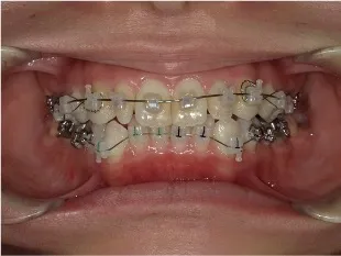
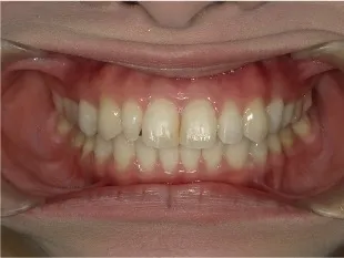
症例

術前

治療中

術後
| 主訴 | 前歯の歯並びが気になる |
|---|---|
| 治療内容 | 歯科矯正治療(ブラケット矯正) |
| 治療期間 | 1年1ヶ月 |
| 来院回数 | 12回 |
| 費用 | 75万+消費税 |
| 副作用/リスク | 矯正装置装着により虫歯リスクが高くなる、口内炎、器具による違和感など |
治療費
| 矯正検査費 | 16,500円 |
|---|---|
| 矯正治療費 | 363,000円 |
| 調整料 | 5,500円 |
※上記はすべて税込表示です。
※上記はすべて税込表示です。